The PD-OCT assessment of choroidal nevi is expected to greatly contribute to predicting the fate of choroidal nevi and consequently reduce fatalities caused by melanoma.
The details of this research are published in Investigative Ophthalmology & Visual Science.
Citation: Y. Miao, H. Jung, D. Hsu, J. Song, S. Ni, D. Ma, Y. Jian, S. Makita, Y. Yasuno, M.V. Sarunic, K.A.J. Stephenson, K. Paton, Z. Mammo, M.J. Ju, “Polarization-diversity optical coherence tomography assessment of choroidal nevi,” Invest. Ophthalmol. Vis. Sci. 64 (14) 6 (2023). https://doi.org/10.1167/iovs.64.14.6.
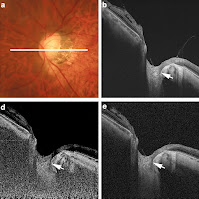
わたしたちの共同研究者である British Columbia 大学のYusi Miaoさんが偏光ダイバーシティ光コヒーレンストモグラフィー(PD-OCT)を用いることで、脈絡膜母斑を明確に視覚化し、そのサブタイプを分類できることを実証しました。脈絡膜母斑は眼球の奥、脈絡膜に発生する腫瘍です。脈絡膜母斑は良性腫瘍ですが、一部の症例が悪性黒色腫であるメラノーマに進行することがあります。そのため、脈絡膜母斑のサブタイプを分類し、その予後を予測することが重要です。Miaoさんは独自に開発したPD-OCT装置を用いて実際の患者さんの脈絡膜母斑を撮影し、PD-OCTによってえられた偏光均一性画像で色素性脈絡膜母斑と無色素性脈絡膜母斑を区別できることを見出しました。
脈絡膜母斑のPD-OCT評価は、脈絡膜母斑の予後を予測する上で有用であり、将来的にあhメラノーマによる死亡率の減少に貢献することが期待されます。
この研究の詳細は、米研究眼科学会の学術誌 Investigative Ophthalmology & Visual Science に掲載されました。
Citation: Y. Miao, H. Jung, D. Hsu, J. Song, S. Ni, D. Ma, Y. Jian, S. Makita, Y. Yasuno, M.V. Sarunic, K.A.J. Stephenson, K. Paton, Z. Mammo, M.J. Ju, “Polarization-diversity optical coherence tomography assessment of choroidal nevi,” Invest. Ophthalmol. Vis. Sci. 64 (14) 6 (2023). https://doi.org/10.1167/iovs.64.14.6.













